トップ
(current)
当院の特徴
治療方針
院長紹介
ドッグスベストセメント治療
診療項目
一般歯科
歯周病
セレック
審美歯科
ホワイトニング
インプラント
矯正・床矯正
マウスピース
入れ歯
義歯
衛生管理
医院紹介
ブログ
ご予約
予診票
ご予約
講習会情報
採用情報
Close Menu
【平日】
10:00-13:00/14:30-20:00
【土曜】
10:00-13:00/14:30-17:00
【休診】
日・祝日
東京都世田谷区桜丘2-29-7 塩入ビル2F
当院の特徴
/
治療方針
院長紹介
ドッグスベストセメント
診療項目
/
一般歯科
審美歯科
矯正・床矯正
歯周病
ホワイトニング
マウスピース
セレック
入れ歯
インプラント
義歯
衛生管理
医院紹介
/
ブログ
/
ご予約
/
予診票
ご予約
講習会情報
/
採用情報
Open Menu
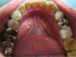
インプラント
インプラント治療の症例写真
下顎2本欠損
術前
術後
下顎1本欠損
術前
術後
上顎3本欠損
術前
術中
術後
下顎2本欠損
術前
術中
術後
下顎2本欠損
術前
術後
上顎臼歯部2本欠損
アバットメント・上物・ジルコニア症例
術前
術中
術後
上顎臼歯部3本欠損
ブリッジ・アバットメント・上物・ジルコニア症例
術前
術中
術後
下顎1本欠損
術前
術後
上顎8本欠損症例
術前
術後